- Skólinn
- Nám & kennsla
- Stoðþjónusta
- Frístundaheimilið
- Leikskólastig
- Foreldrar
- Hagnýtt
- Farsæld barna
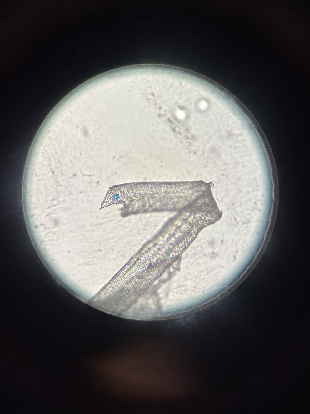
Nemendur í 5. bekk eru að læra um vatn í vísindasmiðjum og er eitt af markmiðum smiðjunnar að þekkja muninn á hreinu vatni og óhreinu. Eftir að hafa skoðað sýnilega óhreint vatn og unnið með síun til að ná því hreinu vaknaði spurning um hversu hreinn snjórinn sé. Hópur ákvað því að skoða það sem þeim fannst vera hreinn snjór. Eftir að snjórinn hafði bráðnað var hann skoðaður í smásjá og opnaðist heimur sem annars er okkur hulinn. Einnig var ákveðið að sía snjóinn tvisvar sinnum og skoða eftir hverja síun hvort munur hafi verið á.
Niðurstaðan er sú að það er ýmislegt sem leynist í hvítum snjó þó við sjáum það ekki. Hópurinn var ákveðinn í því að borða lítið af snjó og halda sig frekar við fersk kranavatn í staðinn.



